Filtrer par catégories

Nos cas cliniques

  • Chirurgie buccale
    Prothèses dentaire sur implants.

    Pose de prothèses dentaires en zircone sur des implants après une prise d'empreinte numérique qui assure une exactitude de mesures pour un meilleur résultat esthétique et fonctionnel.

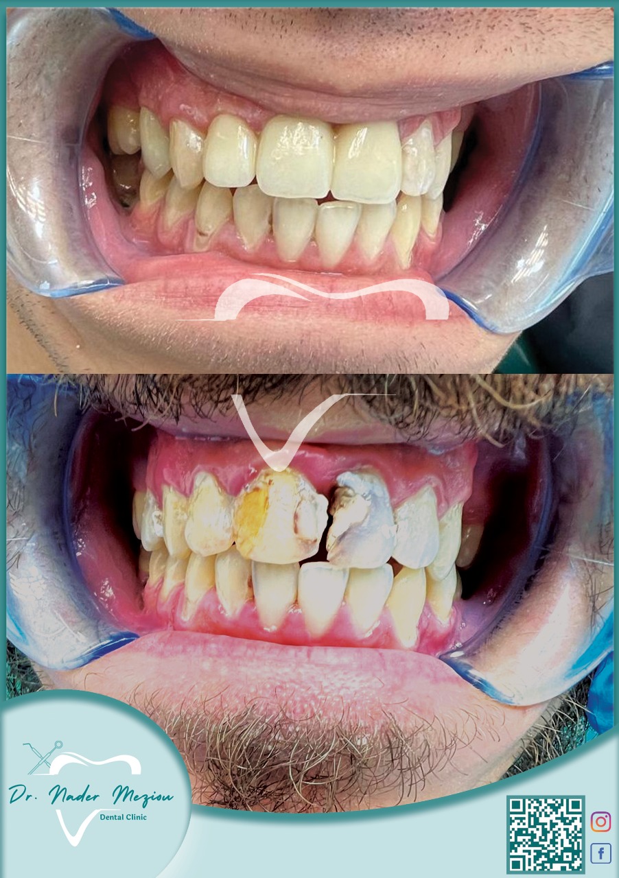
  • Esthétique dentaire
    Assurer la symétrie des dents

    Reconstruction de l'incisive fracturée avec couronne en zircone.

  • Esthétique dentaire
    Couronnes en zircones.

    Amélioration de la sourire reconstitution des dents par des couronnes en zircones.

  • Esthétique dentaire
    Couronnes sur implants.

    Couronnes sur implant pour remplacer les incisives inferieurs perdues.

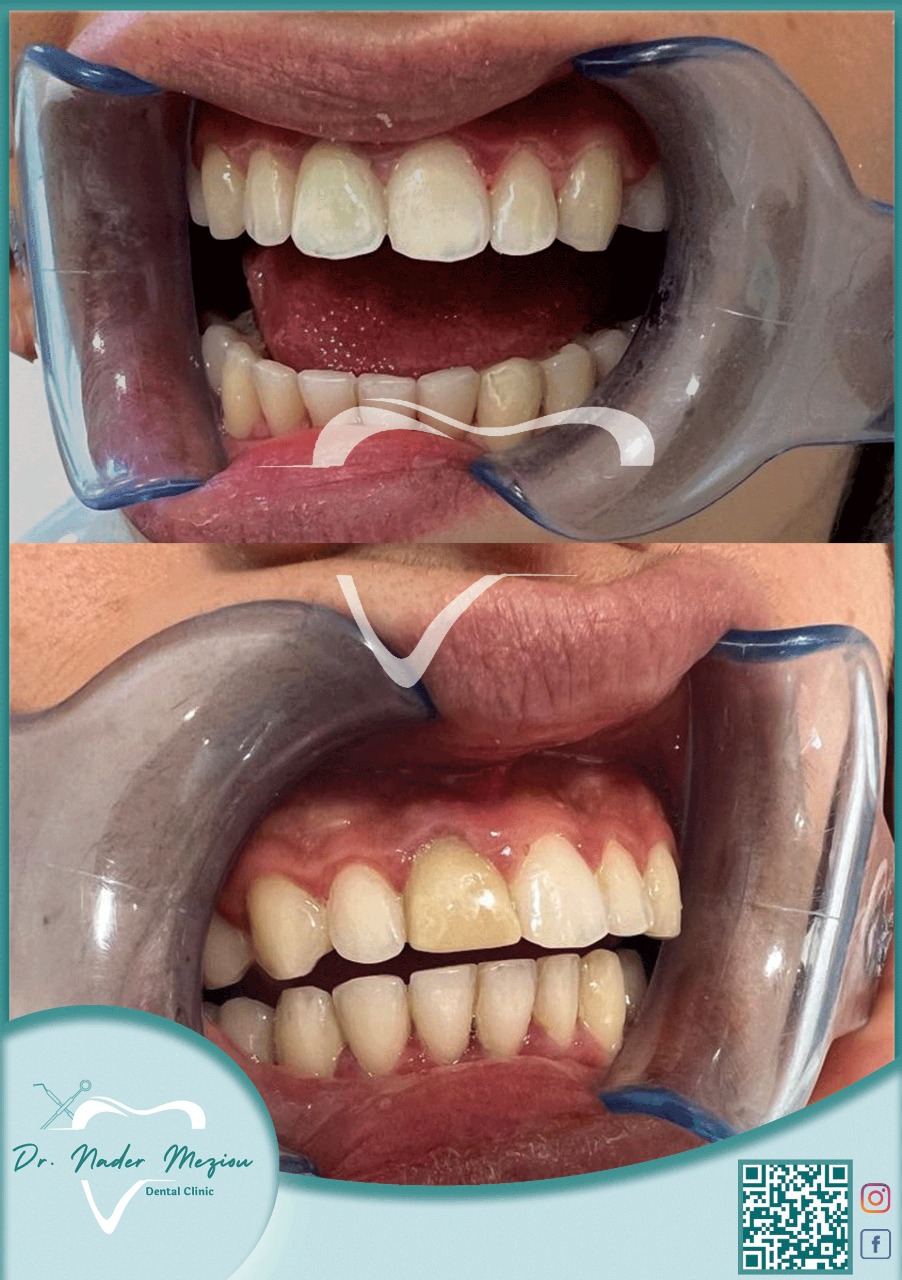
  • Esthétique dentaire
    Couronne en zircone.

    Couronne en zircone pour corriger la dyschromie et rendre une sympathie esthétique.